14歳 中学2年生 男子 腰椎分離症の症例
水戸市在住の中学2年生男子。サッカー競技中に腰痛を発症。整形外科にて腰椎分離症と診断される。令和4年3月 腰痛発症
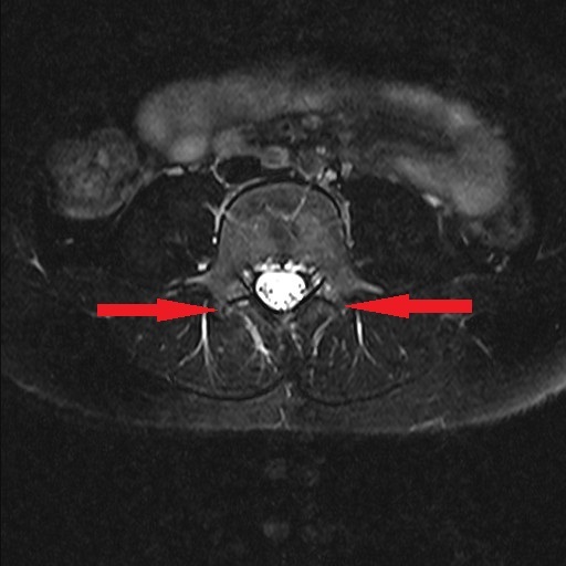
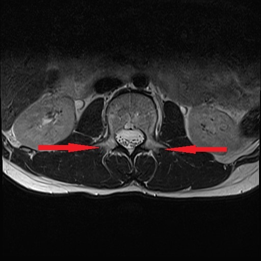
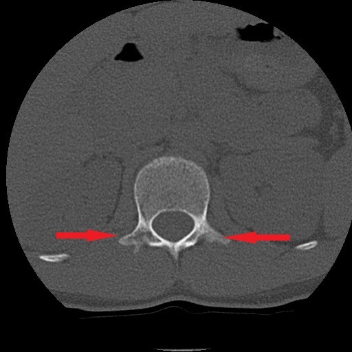
4月 MRI検査にて腰椎分離症の診断。コルセット装着の保存療法にて安静加療の指示。

6月 再検査。腰椎分離症の進行が見られた。

9月 再検査。変化なし。ボルトで脊椎を固定する手術(脊椎固定術)を打診される。
9月30日 当院初回受療。初回時の全身検査を実施。両骨盤症候、脊椎逆S字転位、蝶形骨時計回り、頸椎1番前下方右前方転位、腰椎5番左回旋、仙骨3番右回旋。全脊椎左側弛緩、左側頭骨下方、左顎関節前下方による咬合不全、仙骨右回旋。筋肉反射テスト、可動テストにより、腰椎5番棘突起の損傷を確認。腰椎5番の左後方回旋及び反時計回り、後下方転位を律動調整。施術後の腸腰筋テストでは顕著な筋力の回復が見られた。
10月11日 当院2回目受療。痛みなどの症状はほぼ消失したとのこと。
10月15日 再検査にて分離部位の癒合が認められるとの所見。
10月25日 当院3回目受療。
11月 1日 当院4回目受療。
11月15日 再検査にて更に分離部位の癒合が認められるとの所見。現時点で腰痛や下肢疼痛など症状の再発は無し。



腰椎分離症は、中高生の運動部活動中に多く発症する症状で、近年の患者数は増加傾向にあるそうです。ボルトで脊椎に穴を開けて固定する手術(脊椎固定術)を行うのが一般的なようですが、手術には骨癒合不全(再生不全)、隣接椎体間障害、感染症など、様々な後遺症のリスクが懸念されております。ましてや脊椎の手術が成長期真っ只中にある中高生の体の発達にどれだけ大きな負担となることか、その影響は計り知れません。生涯に渡る健康の礎を構築する重要な時期である成長期だけに脊椎の損傷ともなれば一刻も早く回復させなければなりません。
今回ご紹介する症例は、半年もの間一向に改善しなかった腰椎分離症がわずか1ケ月半の間に、しかも4回の施術で劇的な改善が見受けられたことについて、病院での一連の検査が終了した後に受療者の保護者より病院での検査記録の提供を受け、発症から治癒に至るまでの詳細について時系列でお伝えするものす。また、この症例はこれらの画像提供を受ける2ヶ月前の段階で既に筋肉反射テストにより損傷部位を正確に特定し、骨の癒合を促す施術を行った結果です。この目まぐるしい回復に専門医も只々驚愕しきりだったとか。本人は手術を受けるつもりでいたようですが、我が子の体にメスを入れることを良しとしなかった母親の慈愛が正しい選択に向かったのでしょう。CTやMRIは最先端の医療検査と思われがちですが、残念ながら損傷が分ったとしてもそこには回復させる術はありません。正しい検査のみが治癒の道筋を着けることを可能とします。体は常に自力で治ろうとして様々な症状を発現しています。体の訴えに耳を傾ける時、きっと自身の治癒力が成せる奇跡のような回復劇が待っていることでしょう。当院の施術には何のリスクもありません。手術を受ける前に是非ご相談ください。
茨城県神栖市にある栄光堂整術院では、腰痛、肩こりからぎっくり腰、難治症状、原因不明の症状まで、幅広い症状に対応した施術を行っています。腰痛、肩こり、頭痛などでお悩みの方はお気軽にご相談ください。鹿嶋市、潮来市、鉾田市、行方市、水戸市、つくば市、銚子市、旭市、香取市、成田市、その他、遠方の地域からも来院されております。
2023年03月06日 07:31
